Erstellt: 19.04.2019 Autoren: K. Emmanuel | B. von Rahden Konsentiert: 29.05.2019 Letzte Änderung: 20.11.2025 Zuletzt bearbeitet von: T. Jäger Version: 2.0.1
33.1 Definition
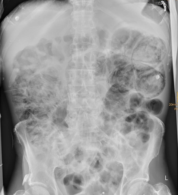
Gasansammlung in der Wand des Intestinums
33.2 Ursachen
Viele mögliche Ursachen (siehe Tabelle „Pneumatosis intestinalis II“ [1])
St Peter SD, Abbas MA, Kelly KA (2003) The spectrum of pneumatosis intestinalis. Archives of Surgery 138(1):68–75
Hinweis / Disclaimer
Bitte lesen Sie diesen Hinweis sorgfältig und bestätigen Sie, um fortzufahren.
Wichtig
Dieses Werk dient ausschließlich der internen Verwendung an der Universitätsklinik für Chirurgie Salzburg.
Es erhebt keinen Anspruch auf Vollständigkeit und ersetzt nicht die eigenverantwortliche ärztliche Entscheidung im Einzelfall.
Es wird keine Gewähr/Garantie für Richtigkeit, Aktualität und Vollständigkeit übernommen; eine Haftung ist ausgeschlossen.
Abweichungen von Standards können klinisch geboten und müssen medizinisch begründet sein; in diesem Rahmen liegen Abweichungen im Ermessen der Behandler:innen.
Weitergabe oder Publikation außerhalb des internen Rahmens nur mit Zustimmung der Redaktion.
Ihre Bestätigung wird lokal gespeichert (Browser-Speicher).